


X線を周囲よりらせん状に照て、全身の断層写真(輪切りの写真)を数秒で撮り各臓器を詳細に検査します



X線を周囲よりらせん状に照て、全身の断層写真(輪切りの写真)を
数秒で撮り各臓器を詳細に検査します。

適応病変
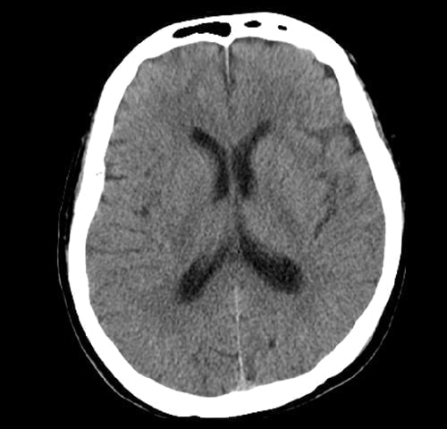
・ 脳(脳出血・脳梗塞・脳腫瘤)病変
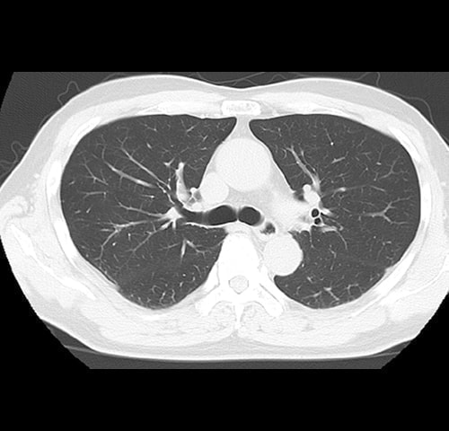
・ 肺(肺炎・肺気腫・ 肺がん)病変
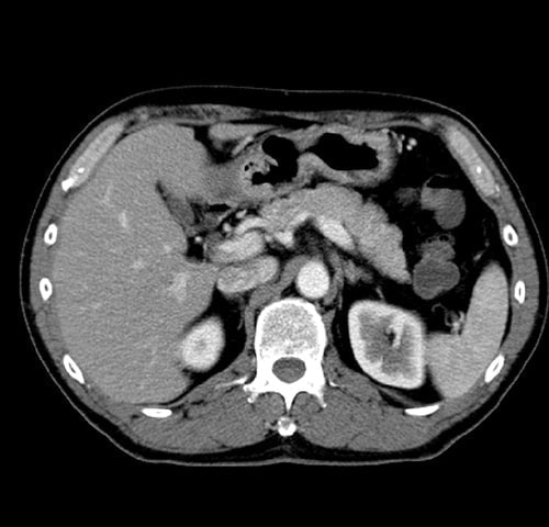
・ 腹部(肝臓・胆のう・ 膵臓・腎臓)病変
・ 骨盤(膀胱・前立腺・子宮・卵巣)病変
・ 血管( 大動脈瘤など)病変を早期に発見することができます。
※胸部レントゲン写真で解りにくい 肺がんの発見
※胃の裏でみつかりにくい膵臓がんの発見に有用です
すべての画像は 放射線専門医の読影による二重チェックを行っています。
※CT検査で造形剤を使用した場合は、検査後多くの水分を摂ってください。
・ 脳(脳出血・脳梗塞・脳腫瘤)病変
・ 肺(肺炎・肺気腫・ 肺がん)病変
・ 腹部(肝臓・胆のう・ 膵臓・腎臓)病変
・ 骨盤(膀胱・前立腺・子宮・卵巣)病変
・ 血管( 大動脈瘤など)病変を早期に発見することができます。
※胸部レントゲン写真で解りにくい 肺がんの発見
※胃の裏でみつかりにくい膵臓がんの発見に有用です
すべての画像は 放射線専門医の読影による二重チェックを行っています。
※CT検査で造形剤を使用した場合は、検査後多くの水分を摂ってください。

脳

肺

腹部